The NovoTAL™ System
Optimize treatment using the FDA-approved NovoTAL System
- In electric field simulation studies, it was possible to achieve a substantial increase in Tumor Treating Fields (TTFields) intensity to a specific region of the brain by adapting the configuration of paired arrays1
Individualize Optune Gio™ for every patient
- Treatment planning is an essential component of therapy with Optune Gio
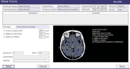
- The NovoTAL System is utilized to create individualized treatment maps for all clinical and commercial patients starting Optune Gio
To learn more about the NovoTAL System,
please email novotal@novocure.com



Learn how Optune Gio can work to selectively destroy cancer cells
Reference: 1. Wenger C, Salvador R, Basser PJ, Miranda PC. Improving Tumor Treating Fields treatment efficacy in patients with glioblastoma using personalized array layouts. Int J Radiat Oncol Biol Phys. 2016;94(5):1137-1143.